វិធីសម្រាប់បំបាត់ពេលហើមអញ្ចាញធ្មេញ!! KHMER NATURAL REMEDY FOR SWOLLEN GUMS!!
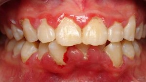
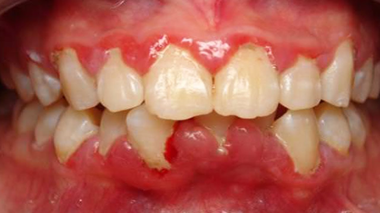
ជំងឺ/ILLNESS: ហើមអញ្ចាញធ្មេញ/swollen gums
រុក្ខជាតិ/PLANT:
ផ្លែល្វា ១ផ្លែ/1 pcs of fig fruits
ទឹកដោះគោ១ពេង/1 cup of milk
វិធីធ្វើ/INSTRUCTION:
ត្រាំផ្លែល្វាក្នុងទឹកដោះគោមួយពេងរយះពេល៥នាទី/soak the fig in a cup of milk for 5 minutes
អាំងផ្លែល្វាហើយដាក់លើអញ្ទាញធ្មេញរយះពេល១០នាទី/toast the fig than apply to the swollen gums for 10 minutes
វានឹងជួយកាត់បន្ថយធ្មេញហើម/this will quickly alleviate the swelling
កំណត់ចំណាំ/REMARK:
-ខ្ញុំបាទសូមចែកជូនវិធីព្យាបាលនេះ សម្រាប់ជាព័ត៌មាន និងជាចំណេះដឹងសូមពិនិត្យ និងពិគ្រោះយោបល់ជា មួយវេជ្ជបណ្ឌិត ឬគ្រូពេទ្រជំនាញឱ្យបានច្បាស់លាស់ និងអស់លទ្ធភាពជាមុន។ វិធីនេះអាចប្រើសាកល្បងបាន នៅពេលដែលមិនមានជម្រើសផ្សេង។ I am sharing this for knowledge and information only. Please consult with doctor and/or specialist first before using it. This natural remedy should be used when there is no other choice only.
☞☞☞ សូមរក្សារនូវទម្រង់អត្ថបទដើមទាំងស្រុង នូវរាល់ប្រភពដែលយកអត្ថបទរបស់ខ្ញុំទៅចែកចាយបន្ត។
SOURCE: 1800remediesfig

















